Un equipo de la red social trabajó en conjunto con la Universidad de Nueva York (NYU) para acelerar el proceso de las resonancias magnéticas sin perder la calidad.
Tener que realizarse una resonancia magnética puede ser algo complicado e incluso estresante, dependiendo de la persona. Es necesario permanecer sin moverse dentro de un tubo durante, aproximadamente, una hora, escuchando los diferentes ruidos que hace la máquina. Todo esto se complica un poco más si la persona sube de claustrofobia o tiene dificultad para permanecer en pequeños espacios cerrados.
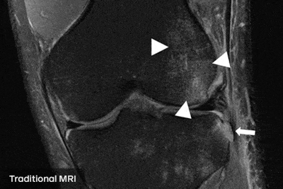
A través del estudio del equipo de investigación de inteligencia artificial de Facebook (FAIR) junto a radiólogos de NYU Langone Health se descubrió que es posible hacer resonancias magnéticas cuatro veces más rápido si se utiliza inteligencia artificial. Lo más importante es que las imágenes obtenidas conservan la calidad de las resonancias tradicionales.

El trabajo lleva el nombre de fastMRI y para llevarlo a cabo se entrenó a una máquina con muestras de resonancias de baja y alta resolución, utilizando esto para predecir cómo debería verse el resultado de una resonancia con solo un cuarto de la información que normalmente se procesa. Teniendo en cuenta que los resultados generales fueron buenos, esto puede representar un alivio tanto para pacientes como para médicos, ya que implica tener diagnósticos en menor tiempo.

La inteligencia artificial puede general los mismo resultados utilizando menos información porque ya aprendió la idea de como se ve un scan de una resonancia magnética analizando los datos que se le dieron en el entrenamiento. Usa todo su entrenamiento para predecir el resultado final.
Para el entrenamiento se utilizaron estudios de pacientes de entre 18 y 89 años, donde 57 de ellos eran de mujeres y 51 de hombres. Facebook anunció en su blog oficial que para poder realizar la investigación y el entrenamiento de la máquina con esos estudios se obtuvo el permiso de la junta institucional. Además, NYU Langone se aseguró, antes de dar accesos a los scans, de sacar cualquier tipo de información respecto a la identidad de los pacientes.
Facebook comunicó en su blog que «ya que fastMRI es un proyecto de código abierto, otros investigadores y otras compañías que se dedican al desarollo de máquinas de resonancias magnéticas pueden utilizar nuestro trabajo y probar nuestro código en ellas«.
En estos términos, el siguiente paso sería llevar esta tecnología a los hospitales para ayudar efectivamente a médicos y pacientes.
¡Seguinos en Instagram para más noticias como esta!









